Loin de toute polémique politicienne, il n'est pas excessif de dire que les problèmes de santé ne présentent pas un grand intérêt pour les autorités locales
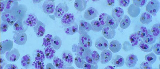
Le paludisme dans le sang humain. Crédit photo : Sources
Le quotidien le jour dans son édition du 30 octobre 2013 affirme qu'une épidémie sévit dans la ville de Maroua. Ils sont 11.665 malades du paludisme internés dans les centres de santé et à l’hôpital régional de Maroua.
D’après le bilan provisoire de la délégation régionale de la Santé publique de l’Extrême-Nord et des responsables du district de santé de Maroua urbain, évoque la même source, les quartiers les plus touchés de la ville sont Dougoï, Founangué, Pitoaré, Domayo et Loperé.
A l’hôpital régional de Maroua et au centre de santé de Dougoï, les malades dorment à l’air libre. Sous les arbres, les malades ont transformé les hangars en salle d’hospitalisation.
Le paludisme
Le paludisme (malaria) à titre de rappel est une maladie infectieuse tropicale la plus répandue dans le monde. Elle est due à un parasite (Plasmodium) transmis à l'homme par différentes espèces de moustiques du genre « anophèle ». Le parasite est donc inoculé à l'homme par piqûre d'un moustique de type anophèle porteur de ce parasite. Cette maladie grave peut être mortelle sans traitement approprié.
Il se manifeste par les signes de fatigue, fièvre, parfois intermittente (sensation de froid suivie de frissons),céphalées, douleurs musculaires, troubles digestifs : nausées, vomissements, diarrhée, augmentation du volume de la rate (splénomégalie).
Sa gestion s'appuie sur la prévention, la préparation et la riposte (80% des guérisons possibles si la prise en charge des malades est adéquate).
Les victimes dans l'Extrême Nord
Le réseau des Journalistes camerounais Amis de l’Enfant affirme par le canal de la presse que les principales victimes sont « des enfants et des femmes enceintes ».
Loin de toute polémique politicienne, il n'est pas excessif de dire que les problèmes de santé ne présentent pas un grand intérêt pour les autorités locales
Face à ce manquement régalien, l’association de droit belge, dénommée asbl CEBAPH (Cercle Belgo-Africain Pour la Promotion Humaine),tout en renouvelant aux populations si durement éprouvées les condoléances des membres et du peuple camerounais dans son ensemble, suggère aux autorités camerounaises que dans l'immédiat:
1- Une stabilisation des financements de lutte contre le paludisme sur toute l’année, et non pas qu’en période de l’épidémie, soit indispensable.
2- Pour une action efficace, et afin de limiter le nombre de cas, toutes les zones de persistance du paludisme dans le pays doivent bénéficier d’intervention forte de prévention durant la saison sèche et la saison de pluie.
3- Dans les zones de persistance, la sensibilisation et la mobilisation communautaires doivent ainsi continuer de manière constante.
4- Pour ce faire, une mobilisation accrue à la fois des bailleurs de développement et des bailleurs d’urgence ainsi qu’une meilleure coordination de l’ensemble des acteurs est indispensable.
5-Il est urgent que des fonds soient débloqués pour doter tous les hôpitaux du Nord, de l’Extrême-Nord et de l’Adamaoua en produits pharmaceutiques permettant une prise en charge rapide et adéquate des malades.
6-Un renfort des personnels de santé soit envoyé dans ces régions .
7-La mise sur pied dans les quatre coins de la république d'un plan de prévention efficace de cette maladie.
8-Dans un pays où l’accès aux soins reste difficile, pourquoi ne pas instaurer le traitement gratuit du paludisme
Le Cercle Belgo-Africain Pour la Promotion Humaine (Asbl CEBAPH) est convaincu que la gestion d'une crise sanitaire de cette ampleur doit aussi s'appuyer sur la prévention d'autres crises ; c’est la raison pour laquelle l'asbl CEBAPH place les problèmes de santé des Camerounais au cœur des préoccupations de sa politique
Fait à Bruxelles le 04 novembre 2013
La Cellule de Communication de l'asbl CEBAPH
Contact presse: asblcebaph@gmail.com
Tel : 0032 499 431 764 /00 32 483 586 057
http://cebaph.blogs.lalibre.be/
D’après le bilan provisoire de la délégation régionale de la Santé publique de l’Extrême-Nord et des responsables du district de santé de Maroua urbain, évoque la même source, les quartiers les plus touchés de la ville sont Dougoï, Founangué, Pitoaré, Domayo et Loperé.
A l’hôpital régional de Maroua et au centre de santé de Dougoï, les malades dorment à l’air libre. Sous les arbres, les malades ont transformé les hangars en salle d’hospitalisation.
Le paludisme
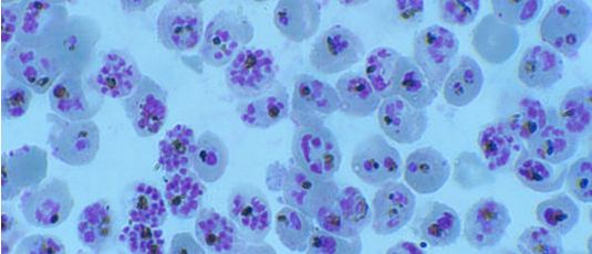
Le paludisme (malaria) à titre de rappel est une maladie infectieuse tropicale la plus répandue dans le monde. Elle est due à un parasite (Plasmodium) transmis à l'homme par différentes espèces de moustiques du genre « anophèle ». Le parasite est donc inoculé à l'homme par piqûre d'un moustique de type anophèle porteur de ce parasite. Cette maladie grave peut être mortelle sans traitement approprié.
Il se manifeste par les signes de fatigue, fièvre, parfois intermittente (sensation de froid suivie de frissons),céphalées, douleurs musculaires, troubles digestifs : nausées, vomissements, diarrhée, augmentation du volume de la rate (splénomégalie).
Sa gestion s'appuie sur la prévention, la préparation et la riposte (80% des guérisons possibles si la prise en charge des malades est adéquate).
Les victimes dans l'Extrême Nord
Le réseau des Journalistes camerounais Amis de l’Enfant affirme par le canal de la presse que les principales victimes sont « des enfants et des femmes enceintes ».
Loin de toute polémique politicienne, il n'est pas excessif de dire que les problèmes de santé ne présentent pas un grand intérêt pour les autorités locales
Face à ce manquement régalien, l’association de droit belge, dénommée asbl CEBAPH (Cercle Belgo-Africain Pour la Promotion Humaine),tout en renouvelant aux populations si durement éprouvées les condoléances des membres et du peuple camerounais dans son ensemble, suggère aux autorités camerounaises que dans l'immédiat:
1- Une stabilisation des financements de lutte contre le paludisme sur toute l’année, et non pas qu’en période de l’épidémie, soit indispensable.
2- Pour une action efficace, et afin de limiter le nombre de cas, toutes les zones de persistance du paludisme dans le pays doivent bénéficier d’intervention forte de prévention durant la saison sèche et la saison de pluie.
3- Dans les zones de persistance, la sensibilisation et la mobilisation communautaires doivent ainsi continuer de manière constante.
4- Pour ce faire, une mobilisation accrue à la fois des bailleurs de développement et des bailleurs d’urgence ainsi qu’une meilleure coordination de l’ensemble des acteurs est indispensable.
5-Il est urgent que des fonds soient débloqués pour doter tous les hôpitaux du Nord, de l’Extrême-Nord et de l’Adamaoua en produits pharmaceutiques permettant une prise en charge rapide et adéquate des malades.
6-Un renfort des personnels de santé soit envoyé dans ces régions .
7-La mise sur pied dans les quatre coins de la république d'un plan de prévention efficace de cette maladie.
8-Dans un pays où l’accès aux soins reste difficile, pourquoi ne pas instaurer le traitement gratuit du paludisme
Le Cercle Belgo-Africain Pour la Promotion Humaine (Asbl CEBAPH) est convaincu que la gestion d'une crise sanitaire de cette ampleur doit aussi s'appuyer sur la prévention d'autres crises ; c’est la raison pour laquelle l'asbl CEBAPH place les problèmes de santé des Camerounais au cœur des préoccupations de sa politique
Fait à Bruxelles le 04 novembre 2013
La Cellule de Communication de l'asbl CEBAPH
Contact presse: asblcebaph@gmail.com
Tel : 0032 499 431 764 /00 32 483 586 057
http://cebaph.blogs.lalibre.be/
Menu
Recrudescence du paludisme dans l’Extrême Nord du Cameroun : Les huit recommandations







