© DR
Des visages enflés, des mains tenues sur la joue, et d'autres avec la tête enveloppée d'un turban sont les signes présentés par les personnes atteintes de la carie dentaire. Pidimbaye, une jeune femme de vingt ans, raconte son calvaire : "Je souffre de la carie dentaire depuis quatre ans, j'ai consulté tous les dentistes, mais les produits que je prends semblent inefficaces". A chaque fois qu'il fait froid, je souffre beaucoup et je ne peux pas boire d'eau fraîche. Je ne peux même pas manger d'aliments chauds. "Regardez ma bouche, presque toutes les dents sont plombées", nous montre-t-elle.
Une personne rencontrée dans un cabinet dentaire refuse de décrire ses douleurs et nous dit : "Si vous saviez ce qu'est la carie dentaire, vous ne me poseriez pas de questions."
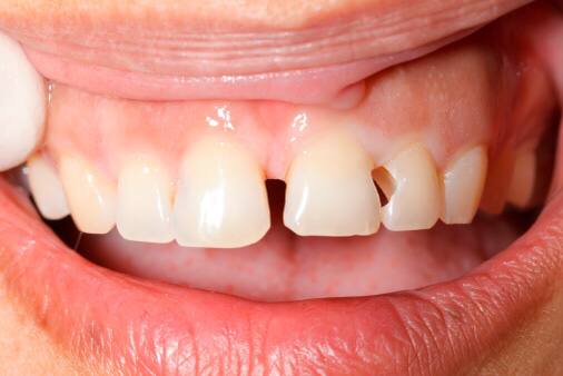
Interrogée sur la carie dentaire, Madame Medjikilembaye Adoléa, dentiste au cabinet dentaire "Le Bon Berger" dans le 7ème arrondissement, explique que «La carie dentaire, ou simplement carie, est une maladie infectieuse qui se manifeste par une lésion de l'émail, de la dentine, voire de la pulpe.» Souvent, les bactéries prolifèrent dans les endroits sales, se nourrissant des saletés déposées sur les dents et causant une infection qui entraîne la carie. C'est une maladie buccale d'origine bactérienne qui endommage la surface de l'émail dentaire et y crée des cavités jusqu'à atteindre les zones les plus internes de la dent, explique la dentiste.
Les principaux symptômes de la carie dentaire
D'après Medjik-Lembaye Adoléa, les symptômes de la carie varient en fonction de leur taille, de leur stade et de leur emplacement et peuvent varier d'une personne à l'autre. Elle précise qu'en général, aucun symptôme n'est perceptible à l'œil nu. Les symptômes commencent par une douleur soudaine dans les dents ou les molaires sans cause apparente, ou en mordant, accompagnée d'une sensibilité aux aliments froids, chauds ou au toucher. Aux stades les plus avancés, les douleurs se transforment en cavité et la cavité devient plus grande et plus visible. Selon la zone où elle se trouve, elle peut entraîner une atteinte nerveuse. Si tel est le cas, la douleur peut être extrêmement intense et spontanée, sans qu'il soit nécessaire de recourir à des stimuli externes pour la provoquer, explique-t-elle.
Les facteurs de risque et causes de la carie dentaire
Les causes de la carie dentaire sont multifactorielles, étant fortement liées à la consommation de certains aliments ou boissons riches en sucres ou en glucides. Une hygiène bucco-dentaire incomplète ou insuffisante peut également être à l'origine de la carie dentaire, selon la dentiste.
Pour elle, la carie dentaire n'est pas héréditaire, mais il existe des prédispositions génétiques, par exemple chez les personnes ayant des dents non minéralisées qui peuvent facilement développer des caries. Les dents non minéralisées sont trop fragiles et, si elles ne sont pas entretenues régulièrement, elles peuvent être plus sujettes à la carie dentaire. Ainsi, une famille avec plusieurs membres atteints de caries dentaires peut penser que cela est héréditaire, mais ce n'est pas le cas, selon Medjik-Lembaye Adoléa.
Jassem NGana Eliasar, également dentiste au même cabinet "Le Bon Berger", ajoute que l'anatomie de la dent contribue également à la carie, car les petites dents serrées ne peuvent être nettoyées correctement et peuvent ainsi être à l'origine de la carie dentaire. Un autre facteur est l'alimentation. Certaines personnes aiment consommer des aliments sucrés tels que du chocolat, des biscuits, du sucre, etc., ce qui peut contribuer à la carie dentaire causée par les boissons sucrées.
On observe souvent chez les enfants de 5 à 12 ans des dents noires et rongées, souvent en raison d'une consommation excessive de sucreries. C'est l'une des causes que les gens ignorent, explique-t-il.
Mode de prévention et traitement des caries dentaires
Le meilleur moyen de prévenir la carie dentaire est une hygiène bucco-dentaire adéquate. Les dentistes recommandent un brossage des dents après chaque repas, l'utilisation de fil dentaire et l'utilisation de bains de bouche. Il est également important de limiter la consommation de sucre et d'aliments riches en glucides, car ils favorisent la croissance des bactéries responsables de la carie dentaire.
Il est également conseillé de consulter régulièrement un dentiste pour un examen dentaire de routine et un nettoyage professionnel des dents. Les dentistes peuvent également appliquer des scellants dentaires pour aider à prévenir la carie dentaire sur les dents postérieures.
En ce qui concerne le traitement, cela dépend du stade de la carie dentaire. Les petites caries peuvent être traitées avec des obturations dentaires, qui remplissent le trou causé par la carie. Les caries plus importantes peuvent nécessiter une couronne dentaire ou un traitement de canal radiculaire, qui consiste à retirer la pulpe dentaire infectée.
Pour les cas les plus graves, l'extraction de la dent peut être nécessaire. Il est donc important de consulter un dentiste dès que possible si l'on soupçonne une carie dentaire.
La carie dentaire est un problème de santé bucco-dentaire courant qui peut avoir des conséquences graves si elle n'est pas traitée. Il est important de prendre des mesures préventives pour éviter la carie dentaire, comme une hygiène bucco-dentaire adéquate et une alimentation saine. Si une carie dentaire est suspectée, il est important de consulter un dentiste dès que possible pour un traitement approprié.
Une personne rencontrée dans un cabinet dentaire refuse de décrire ses douleurs et nous dit : "Si vous saviez ce qu'est la carie dentaire, vous ne me poseriez pas de questions."
Interrogée sur la carie dentaire, Madame Medjikilembaye Adoléa, dentiste au cabinet dentaire "Le Bon Berger" dans le 7ème arrondissement, explique que «La carie dentaire, ou simplement carie, est une maladie infectieuse qui se manifeste par une lésion de l'émail, de la dentine, voire de la pulpe.» Souvent, les bactéries prolifèrent dans les endroits sales, se nourrissant des saletés déposées sur les dents et causant une infection qui entraîne la carie. C'est une maladie buccale d'origine bactérienne qui endommage la surface de l'émail dentaire et y crée des cavités jusqu'à atteindre les zones les plus internes de la dent, explique la dentiste.
Les principaux symptômes de la carie dentaire
D'après Medjik-Lembaye Adoléa, les symptômes de la carie varient en fonction de leur taille, de leur stade et de leur emplacement et peuvent varier d'une personne à l'autre. Elle précise qu'en général, aucun symptôme n'est perceptible à l'œil nu. Les symptômes commencent par une douleur soudaine dans les dents ou les molaires sans cause apparente, ou en mordant, accompagnée d'une sensibilité aux aliments froids, chauds ou au toucher. Aux stades les plus avancés, les douleurs se transforment en cavité et la cavité devient plus grande et plus visible. Selon la zone où elle se trouve, elle peut entraîner une atteinte nerveuse. Si tel est le cas, la douleur peut être extrêmement intense et spontanée, sans qu'il soit nécessaire de recourir à des stimuli externes pour la provoquer, explique-t-elle.
Les facteurs de risque et causes de la carie dentaire
Les causes de la carie dentaire sont multifactorielles, étant fortement liées à la consommation de certains aliments ou boissons riches en sucres ou en glucides. Une hygiène bucco-dentaire incomplète ou insuffisante peut également être à l'origine de la carie dentaire, selon la dentiste.
Pour elle, la carie dentaire n'est pas héréditaire, mais il existe des prédispositions génétiques, par exemple chez les personnes ayant des dents non minéralisées qui peuvent facilement développer des caries. Les dents non minéralisées sont trop fragiles et, si elles ne sont pas entretenues régulièrement, elles peuvent être plus sujettes à la carie dentaire. Ainsi, une famille avec plusieurs membres atteints de caries dentaires peut penser que cela est héréditaire, mais ce n'est pas le cas, selon Medjik-Lembaye Adoléa.
Jassem NGana Eliasar, également dentiste au même cabinet "Le Bon Berger", ajoute que l'anatomie de la dent contribue également à la carie, car les petites dents serrées ne peuvent être nettoyées correctement et peuvent ainsi être à l'origine de la carie dentaire. Un autre facteur est l'alimentation. Certaines personnes aiment consommer des aliments sucrés tels que du chocolat, des biscuits, du sucre, etc., ce qui peut contribuer à la carie dentaire causée par les boissons sucrées.
On observe souvent chez les enfants de 5 à 12 ans des dents noires et rongées, souvent en raison d'une consommation excessive de sucreries. C'est l'une des causes que les gens ignorent, explique-t-il.
Mode de prévention et traitement des caries dentaires
Le meilleur moyen de prévenir la carie dentaire est une hygiène bucco-dentaire adéquate. Les dentistes recommandent un brossage des dents après chaque repas, l'utilisation de fil dentaire et l'utilisation de bains de bouche. Il est également important de limiter la consommation de sucre et d'aliments riches en glucides, car ils favorisent la croissance des bactéries responsables de la carie dentaire.
Il est également conseillé de consulter régulièrement un dentiste pour un examen dentaire de routine et un nettoyage professionnel des dents. Les dentistes peuvent également appliquer des scellants dentaires pour aider à prévenir la carie dentaire sur les dents postérieures.
En ce qui concerne le traitement, cela dépend du stade de la carie dentaire. Les petites caries peuvent être traitées avec des obturations dentaires, qui remplissent le trou causé par la carie. Les caries plus importantes peuvent nécessiter une couronne dentaire ou un traitement de canal radiculaire, qui consiste à retirer la pulpe dentaire infectée.
Pour les cas les plus graves, l'extraction de la dent peut être nécessaire. Il est donc important de consulter un dentiste dès que possible si l'on soupçonne une carie dentaire.
La carie dentaire est un problème de santé bucco-dentaire courant qui peut avoir des conséquences graves si elle n'est pas traitée. Il est important de prendre des mesures préventives pour éviter la carie dentaire, comme une hygiène bucco-dentaire adéquate et une alimentation saine. Si une carie dentaire est suspectée, il est important de consulter un dentiste dès que possible pour un traitement approprié.
Menu
Tchad : la carie dentaire, un fléau qui affecte la population







