REPORTAGE

Tchad : l'école de Mairom au service de l'éducation rurale malgré des obstacles administratifs

​Créée en 2021 au cœur de la zone rurale, l'école caritative et associative de Mairom s'est donnée pour mission de...

Tchad : il y a 48 ans, le président François Tombalbaye était assassiné

Il y a 48 ans jour pour jour, le 13 avril 1975, l'ancien chef de l'État du Tchad, François Ngarta Tombalbaye était...

Tchad : Maurice Abatam, le lutteur qui travaille désormais la terre au village

Né le 22 juin 1987 à Baktchoro, un village situé à 20 km de Kelo dans la Tandjilé Ouest, Abatam Maurice, surnommé...

Xizang : ces femmes qui ont pris leur destin en main

En prélude au forum sur le développement de la région autonome du Xizang qui s'est tenu le mardi 23 mai 2023 à Beijing,...

Tchad : Kariari à l'honneur lors de la célébration de la Journée mondiale de la femme rurale 2023

Le 15 octobre 2023, la province de l'Ennedi-Est à Kariari a abrité la célébration de l'édition 2023 de la Journée...

Tchad : 605 étudiants de la 10ᵉ promotion de l’Université EMI Koussi ont reçu leur parchemin

Ce 29 septembre 2023, 605 étudiants de l'Université Emi-Koussi, issus de la faculté des Sciences et Techniques ainsi...

Tchad : Moov Africa étend et renforce son réseau afin de mieux servir sa clientèle

En effet, la seule entreprise de télécommunication au Tchad dont le réseau combine stabilité et rapidité s'attelle à...

Coût du carburant au Tchad : "nous préférons marcher à pied, comme le faisaient nos ancêtres"

Les citoyens expriment leur mécontentement face à l'augmentation du prix des billets de bus, notamment pour le trajet...

Tchad : jarre en terre cuite, la solution traditionnelle pour se rafraîchir au 21e siècle

En période de chaleur et de ramadan, l'eau fraîche est une nécessité pour tout le monde. Cependant, certains ne...

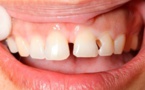
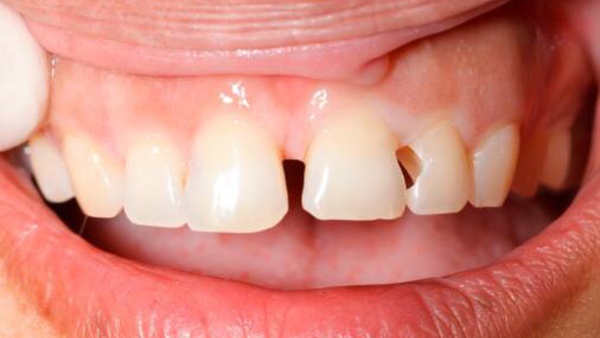
Tchad : la carie dentaire, un fléau qui affecte la population

La carie dentaire, un mal qui gangrène la société tchadienne. Ces derniers temps, beaucoup de personnes souffrent de la...

Tchad : Plumpy’Nut, l'aliment pour enfants malnutris qui séduit les adultes

Le Plumpy'Nut est un aliment thérapeutique destiné aux enfants atteints de malnutrition aiguë sévère. Cependant, on...

Tchad : femmes ingénieures, fières de leur métier et engagées pour le développement

Vêtues de gilets jaune clair et orange, et avec des casques blancs sur la tête, les femmes du Ministère des...

Tchad : la détermination des travailleurs du fleuve Chari pour gagner leur vie

À N'Djamena, les jeunes travailleurs exploitent les ressources du fleuve Chari pour gagner leur vie. Dès 7 heures du...

Tchad : Maman "Akoutha", 23 ans à la faculté d'Ardep-Djoumal, "une main pour des milliers d'étudiants"

Depuis l'année 2000, Maman Sou Koss, surnommée Akoutha, gère la cafétéria de la Bibliothèque universitaire de la...

Tchad : parades motorisées des élèves, un phénomène qui échappe aux policiers

Ce n'est un secret pour personne, c'est le quotidien des usagers dans la capitale. Les élèves de certains...
1 2 3 4 5 » ... 26



Populaires