Bips
L’arthrose est le mal du siècle. Il touche une grande partie de la population surtout après 50 ans. Mais, le phénomène commence à toucher de plus en plus de jeunes.
Tout le monde en parle. Mais, qu’est-ce au juste que l’arthrose ?
C’est une usure et un vieillissement des articulations, douloureux et chroniques.
Tout le monde en parle. Mais, qu’est-ce au juste que l’arthrose ?
C’est une usure et un vieillissement des articulations, douloureux et chroniques.
Les causes de l’arthrose sont nombreuses et variées
. En voici un échantillon :
- le froid et le manque d’ensoleillement
- la carence en oligo-éléments dans l’alimentation
- les mouvements répétitifs effectués pendant le travail
- les pieds plats, la malformation des hanches…
- l’état dépressif, un mauvais moral (selon certains psychologues)
Les premiers signes d’alerte de l’arthrose se manifestent par des douleurs. Elles apparaissent après l’effort, au moment de la marche, après une immobilisation prolongée en mauvaise position ou à la suite d’un mouvement répété. Ces douleurs s’atténuent au repos.
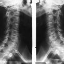
Pour confirmer le diagnostic, votre médecin vous fera faire des radios qui lui permettront de voir si vous avez des excroissances osseuses autour des articulations. Ce sera alors le signe que l’arthrose est bien installée.
Le constat ne peut se faire autrement dans la mesure où il existe plusieurs types d’arthroses et donc de douleurs différents.
- le froid et le manque d’ensoleillement
- la carence en oligo-éléments dans l’alimentation
- les mouvements répétitifs effectués pendant le travail
- les pieds plats, la malformation des hanches…
- l’état dépressif, un mauvais moral (selon certains psychologues)
Les premiers signes d’alerte de l’arthrose se manifestent par des douleurs. Elles apparaissent après l’effort, au moment de la marche, après une immobilisation prolongée en mauvaise position ou à la suite d’un mouvement répété. Ces douleurs s’atténuent au repos.
Pour confirmer le diagnostic, votre médecin vous fera faire des radios qui lui permettront de voir si vous avez des excroissances osseuses autour des articulations. Ce sera alors le signe que l’arthrose est bien installée.
Le constat ne peut se faire autrement dans la mesure où il existe plusieurs types d’arthroses et donc de douleurs différents.
Les différents types d'arthrose
- arthrose cervicale : douleurs intermittentes dans la nuque, l’épaule, le bras
- arthrose dorsale : douleurs dans le dos ou dans les côtes
- arthrose lombaire : lumbago ou crise de sciatique
- arthrose de la hanche : douleurs à la marche puis douleurs au lever (on se sent « rouillé »)
- arthrose du genou : difficultés pour descendre un escalier, s’accroupir ou se relever d’un fauteuil
- d’autres parties du corps peuvent être concernées : les épaules, les mains, les pieds (dans ce cas, il s’agit souvent d’arthrose déformante)
Si vous souffrez de ces symptômes, allez consulter votre médecin qui cherchera à soulager la douleur, à redonner de la mobilité à vos articulations, à essayer de cicatriser les lésions.
- arthrose dorsale : douleurs dans le dos ou dans les côtes
- arthrose lombaire : lumbago ou crise de sciatique
- arthrose de la hanche : douleurs à la marche puis douleurs au lever (on se sent « rouillé »)
- arthrose du genou : difficultés pour descendre un escalier, s’accroupir ou se relever d’un fauteuil
- d’autres parties du corps peuvent être concernées : les épaules, les mains, les pieds (dans ce cas, il s’agit souvent d’arthrose déformante)
Si vous souffrez de ces symptômes, allez consulter votre médecin qui cherchera à soulager la douleur, à redonner de la mobilité à vos articulations, à essayer de cicatriser les lésions.
Les produits naturels pour soulager l'arthrose
Ils peuvent vous apporter un confort de vie supplémentaire. En voici quelques exemples :
- l’homéopathie : parlez-en à un homéopathe confirmé, il saura quelles granules vous prescrire
- la phytothérapie : l’Harpagophytum, le Cassis, la Reine des Prés pour atténuer les douleurs ; la Prêle et le Bambou, riches en silice, pour reconstituer le cartilage
- le thermalisme et la thalassothérapie : pour une action anti-douleur et anti-inflammatoire
- l’aspirine : contre la douleur et pour fluidifier le sang
- les oligo-éléments : le cuivre pour une action anti-inflammatoire, le fluor contre la déminéralisation, le zinc, le manganèse, etc.
- le cartilage de requin : pour reconstituer le cartilage
- l’acupuncture : pour calmer les douleurs et retrouver le tonus
- les massages : pour améliorer la souplesse des articulations
- les sports doux comme le qi gong, le taï chi : pour retrouver de la mobilité.
Tout ceci ne constitue que des pistes à explorer après en avoir parlé à votre médecin. Il sera à même de juger ce qui est le plus bénéfique pour vous.
Ces différents éléments associés à une bonne hygiène de vie vous aideront à mieux supporter les effets douloureux, parfois handicapants, voire déformants, de l’arthrose.
- l’homéopathie : parlez-en à un homéopathe confirmé, il saura quelles granules vous prescrire
- la phytothérapie : l’Harpagophytum, le Cassis, la Reine des Prés pour atténuer les douleurs ; la Prêle et le Bambou, riches en silice, pour reconstituer le cartilage
- le thermalisme et la thalassothérapie : pour une action anti-douleur et anti-inflammatoire
- l’aspirine : contre la douleur et pour fluidifier le sang
- les oligo-éléments : le cuivre pour une action anti-inflammatoire, le fluor contre la déminéralisation, le zinc, le manganèse, etc.
- le cartilage de requin : pour reconstituer le cartilage
- l’acupuncture : pour calmer les douleurs et retrouver le tonus
- les massages : pour améliorer la souplesse des articulations
- les sports doux comme le qi gong, le taï chi : pour retrouver de la mobilité.
Tout ceci ne constitue que des pistes à explorer après en avoir parlé à votre médecin. Il sera à même de juger ce qui est le plus bénéfique pour vous.
Ces différents éléments associés à une bonne hygiène de vie vous aideront à mieux supporter les effets douloureux, parfois handicapants, voire déformants, de l’arthrose.
Première publication sur notre ancien site le Jeudi 28 juin 2007, modifié ce jour.

Accueil
Bien dans sa Tête
